Skip to main content
results_headline_results-are-in

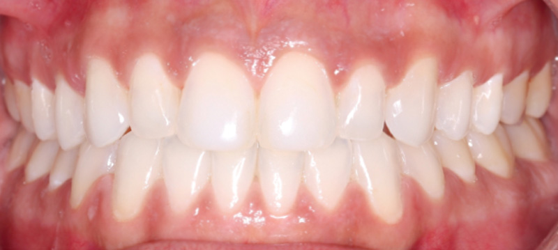
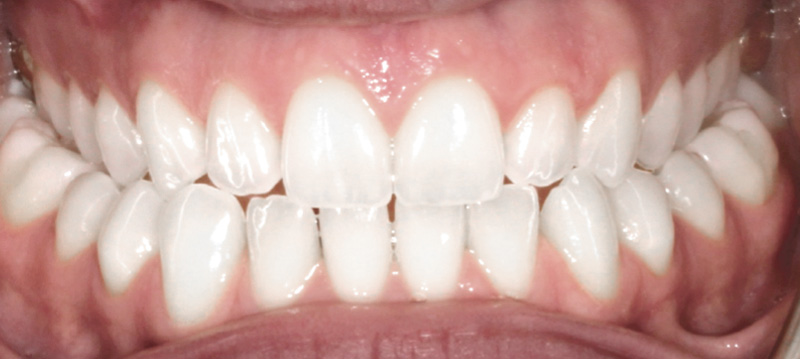
SPACING

TREATMENT TIME: 6 months

spacing-before spacing-after
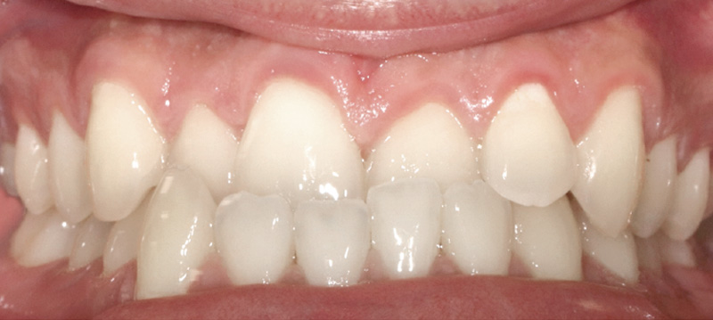
CROWDING

TREATMENT TIME: 10 months

crowding-before crowding-after
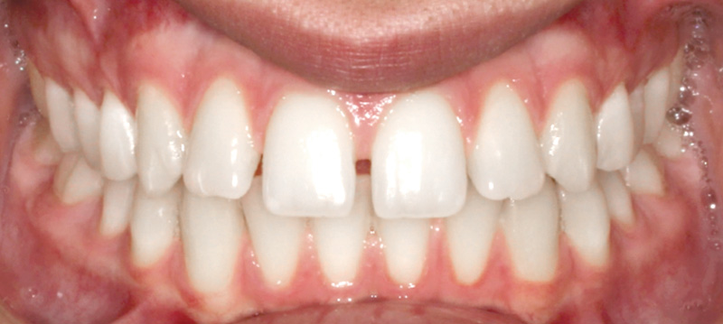
OPEN BITE

TREATMENT TIME: 10 months

openbite-before openbite-after
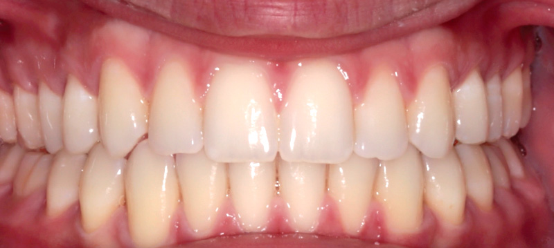
CROSS BITE

TREATMENT TIME: 9 months

crossbite-before crossbite-after
Brava braces FAQ illustration

Learn more about Brava braces and find answers to the questions people ask most.

READ OUR FAQ
Find a Brava braces doctor illustration

Your best smile is closer than you think

FIND A DOCTOR